Composite & Dental Bonding

Composite bonding = adhesive dentistry

Since the invention of plastics (composites) and adhesives, dental manufacturers have been researching how they may benefit patients. Retention restorations like amalgam fillings and crowns have been used for over 100 years and are still used today, but adhesive restorations offer new benefits for patients.

Conserving tooth structure

The greatest benefit of adhesive dentistry is the ability to conserve tooth structure. Amalgam fillings and retention crowns require the tooth to be cut into a specific shape to hold the restorative material. With adhesive dentistry, teeth are treated based on pathologies, saving healthy tooth structure. The restoration is then bonded to the natural tooth.

Visual appeal

Restorative composite and bonded ceramic offers patients restorations that look like natural teeth, making it less apparent when teeth have been treated. Many patients like that restored teeth blend in better with their natural teeth.

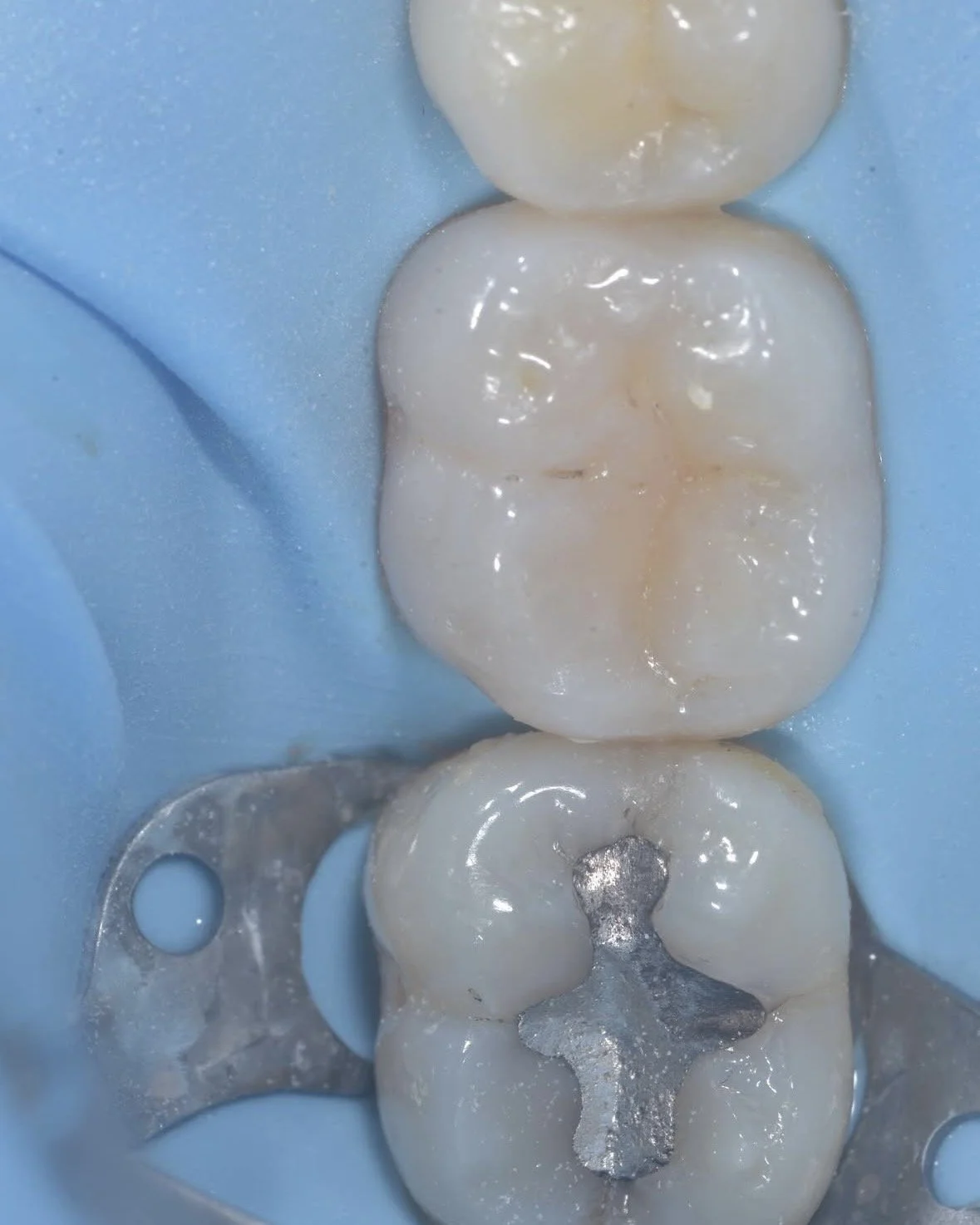
These are two “before” photos showing an amalgam retention restoration and an adhesive restoration. Adhesive dentistry offers more flexibility in restoration shape and size.

Not all composite bonding is equal

Alleman Dental founder Dr. David Alleman, DDS studied adhesive dentistry when it was new in 1995. Frustrated with full coverage crowns and other retention restorations that led to fractures and sensitivity, he sought better options for his patients.

But early adhesive dentistry didn’t solve every problem, so Dr. Alleman took to the published research himself, identifying techniques and materials that would improve adhesive dentistry by eliminating the causes of post-operative sensitivity and creating bonded restorations that have lasted over 20 years and counting. These protocols, called the Six Lessons Approach to Biomimetic Dentistry, are the only protocols we use at Alleman Dental.

Biomimetic composite bonding vs adhesive dentistry

All biomimetic dentistry is adhesive dentistry, but not all adhesive dentistry is biomimetic.

What sets biomimetic dentistry apart?

Bonding to all areas of the tooth: While adhesive dentistry is only able to create strong bonds to enamel (the outer shell of your tooth), biomimetic dentistry can create strong bonds to enamel and dentin. This allows your restoration to be fully bonded within the tooth.

Returning a restored tooth to natural function: The tops and bottoms of teeth are critical to how a natural tooth functions during chewing. Teeth bend and flex with every chew, so biomimetic dentistry uses materials that mimic this natural flexure for restoration. Composite, ceramic and gold best mimic a natural tooth.

The seal is the deal: Biomimetic bonds your healthy tooth structure with a seal so small that bacteria cannot enter. This physically blocks bacteria at the micron level, to eliminate sensitivity and protect your tooth’s health.

This is how restorations at Alleman Dental eliminate the causes of sensitivity, prevent many root canal therapies and stay bonded for 20 years, and counting.

These are the final photos of the above teeth after being restored using biomimetic restorative dentistry by Dr. Davey Alleman, DMD. These teeth now look like natural teeth, but, more importantly, function like natural teeth too.

Become an Alleman Dental Patient

  • Schedule your appointment online

  • Contact our patient care coordinator, Sheila, to learn more about our personalized dental care

  • Request an online treatment consultation with Dr. Alleman

  • Information for out of town patients

  • Learn more about membership plans, billing and insurance